肘の悩み

幼児でよく見られるのは肘内障です。小児では転倒することにより肘周囲の骨折を起こすことがよくあります。中年以降の方で肘の痛みが出るときはテニス肘の可能性があります。肘関節は上肢の関節では最も可動域が重要になってくる関節です。正確な診断のもと正しい治療、リハビリをうけて機能障害を起こさないようにしましょう。

代表的な疾患

肘内障

幼児に多く、手を引っ張られたり、転んだ時に肘をひねるなどの軽い外力で発症します。痛めた方の手を使わなくなり、肘を曲げずに垂らしています。多くは問診と症状のみで診断可能ですが、時に骨折の除外のためにレントゲン診断が必要なこともあります。診断がつき次第、整復操作を行います。整復されれば痛みもなくなりすぐに手を使えるようになります。特に固定の必要もありません。

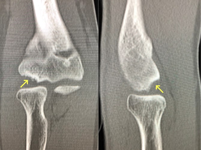
小児上腕骨顆上骨折

上腕骨顆上骨折写真
上腕骨顆上骨折

小児の場合は転倒することで容易に肘周囲の骨折を起こすことがあります。その中でも上腕骨顆上骨折は最も頻度が高く、肘の変形を起こすこともあり注意が必要です。骨折のずれが小さい場合はギプスで固定するのみで骨もつきます。しかし大きくずれてしまっている場合は肘の変形や神経麻痺、血行障害の危険性もあり、手術治療が必要となります。

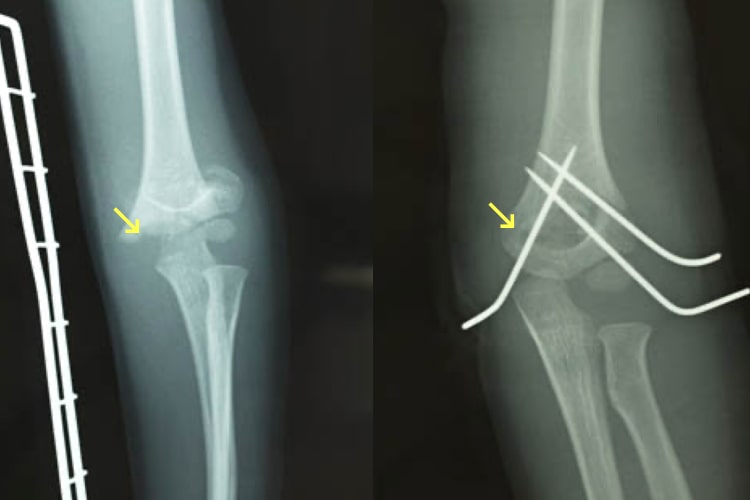
野球肘

外側型の離断性骨軟骨炎写真1 外側型の離断性骨軟骨炎写真2
外側型の離断性骨軟骨炎

野球肘には内側型と外側型があります。内側型は軟骨が靭帯に引っ張られることにより痛みが発生し、多くは数週間の投球中止と正しいフォームを身に付けることで治ります。一方、外側型は離断性骨軟骨炎と呼ばれ、投げ方や投球数に限らず発生します。初期であれば保存的な治療で障害を残さず治りますが、進行すると手術が必要になったり、肘の動きが制限されて野球を続けることが難しくなります。

上腕骨外側上顆炎(テニス肘)

上腕骨外側上顆炎写真
上腕骨外側上顆炎

手首や指を伸ばす筋肉の使い過ぎにより、肘の外側に付着する腱に炎症が生じて発症します。肘の外側から前腕にかけて痛みが生じます。特に物をつかんで持ち上げたり、雑巾絞りのような動作で痛みがでます。ストレッチをしたり、生活での持ち方を工夫するようにして治療します。専用の装具を用いる場合もあります。注射は痛みに対して短期的には効果がありますが、繰り返すことで症状が継続する危険性が高いため、なるべく避けるようにしています。治癒までには時間を要することも多く、半年から1年程度かかることもあります。これらで十分な効果が無ければ、筋膜切開術や滑膜切除術などの手術や、最近は多血小板血漿(PRP)療法と呼ばれる、ご自身の身体の修復力を高める再生医療も選択肢となります。

上腕骨内側上顆炎(ゴルフ肘)

手首や指を曲げたり前腕をひねる筋肉の使い過ぎにより、肘の内側に付着する腱に炎症が生じて発症します。まれに尺骨神経の障害が原因のこともあり鑑別が必要です。肘の内側から前腕にかけて痛みが生じ、特に原因となっている手首や指を曲げる筋肉や前腕をひねる筋肉にストレスが加わる動作で痛みが生じます。ストレッチをしたり、外用薬を貼付して治療します。注射は痛みに対して短期的には効果がありますが、繰り返すことで症状が継続する危険性が高いため、なるべく避けるようにしています。これらで十分な効果が無ければ、筋膜切開術や滑膜切除術などの手術や、多血小板血漿(PRP)療法と呼ばれる、ご自身の身体の修復力を高める再生医療も選択肢となります。

手・手首の悩み

手は持つ、握る、摘む、捻るなど巧緻な動きを担う器官であり、骨、関節、神経、腱、血管、靭帯、筋肉など組織の分布も複雑かつ繊細であるため、疾患や外傷で損なわれた機能の再建には高い専門性が要求されます。当クリニックでは手外科専門医が専門的な知識と技術をもって治療しています。

代表的な疾患

手根管症候群

手根管症候群写真1
しびれの領域
手根管症候群写真2
母指球筋の萎縮
原因
手首にある手根管と呼ばれるトンネルでの正中神経の圧迫
症状
親指から薬指の半分にかけてしびれたり、指先の感覚が鈍くなってきます。また、夜間や朝方に痛みが生じることも多いです。我慢して放置しておくと親指を動かすのに大事な筋肉が麻痺して痩せていき、物をつまむなど細かい動作に支障をきたします。
治療方針
麻痺の予防・進行を防ぐために手術で神経の圧迫を解除します。

肘部管症候

肘部管症候写真1
しびれの領域
肘部管症候写真2
鷲手変形
肘部管症候写真3
筋肉の萎縮
原因
肘内側での尺骨神経の圧迫
症状
小指や薬指の半分・手の甲の小指側がしびれて、指先の感覚が鈍くなってきます。放っておくと指を動かす筋肉が麻痺して、手が変形したり、握力が低下し、細かい動作に支障をきたします。筋肉の麻痺が生じる前に治療を行うことが大切です。
治療方針
麻痺の予防・進行を防ぐために手術で神経の圧迫を解除します。

ばね指(弾発指)

ばね指写真
ばね指で痛みのある場所
原因
指を曲げる屈筋腱や腱鞘の炎症による腫れ
症状
指の付け根に痛みを感じます。固くしこりを触れることもあります。悪化すると、腫れた屈筋腱がスムーズに動かなくなるので、引っかかるように感じたり、曲がったまま伸ばせなくなったりします。
治療方針
まずは炎症を抑えるために腱鞘内に注射を行います。それでも改善しない場合や再発を繰り返す場合は腱鞘切開手術をします。

ガングリオン

ガングリオン写真
ガングリオン
原因
関節包や腱鞘から発生すると考えられています。手首や手の平の部分によく出来ます。ガングリオン自体は悪いできものではありません。
症状
手首や手の平の部分に小さなしこりや膨らみができたりします。多くの場合、痛みはなく偶然気付くことが多いです。しかしガングリオンが神経を圧迫したりすると痛みが生じることがあります。
治療方針
放置しても悪性化したりはしませんが、他のできものとの区別が必要です。痛みがある場合は、注射で穿刺したり、手術で取り除いたりします。

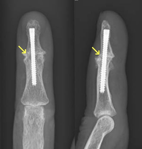
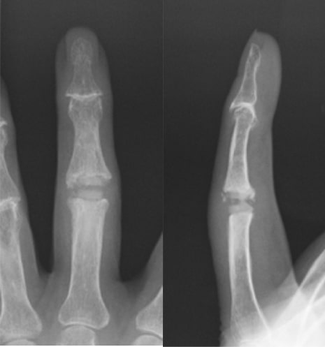
へバーデン結節

へバーデン結節写真
へバーデン結節
へバーデン結節術後写真
関節固定術後
原因
手指の第1関節(DIP関節)の変形性関節症であり、主に加齢性の変化と考えられます。
症状
DIP関節の痛みや腫れ、変形が進行します。特に水ぶくれのような腫瘤が生じることがあります(粘液嚢腫)。経過とともに、痛みは緩和することが多いですが、関節が動かしにくくなります。
治療方針
まずは、外用薬、テーピングなどの処方で様子をみます。痛みが強い場合には関節内注射をすることもあります。痛みが引かない場合や変形が目立って使い勝手が悪くなった場合は手術をします。手術は関節固定を行うことが多いです。

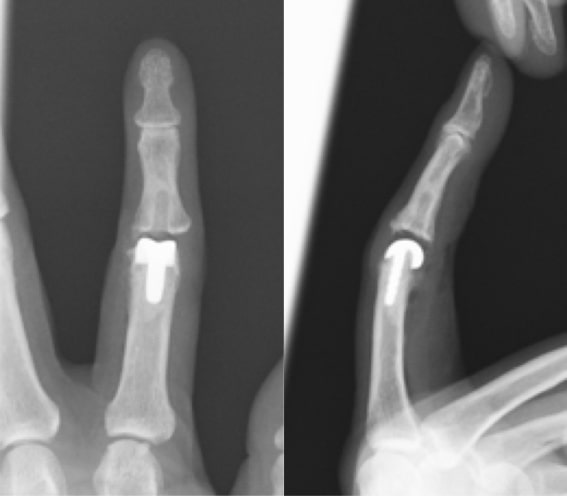
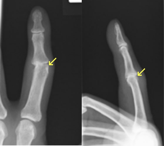
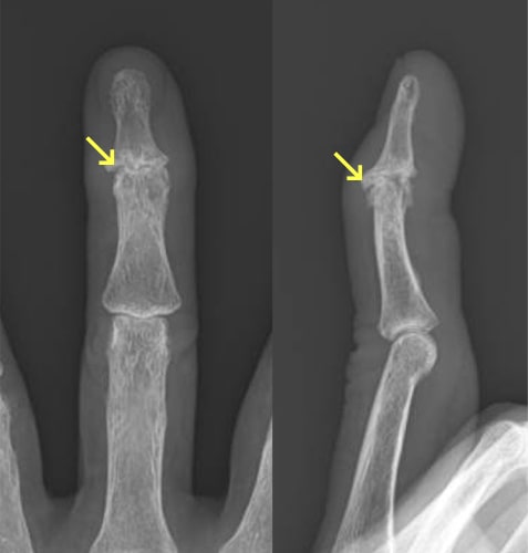
ブシャール結節

ブシャール結節写真1
ブシャール結節
ブシャール結節写真2
PIP関節の狭小化
ブシャール結節術後写真1
表面置換型人工指関節
ブシャール結節術後写真2
シリコン人工指関節
原因
第2関節(PIP関節)の変形性関節症。関節リウマチなどの膠原病でも腫れてくることがあるので鑑別が必要です。
症状
PIP関節がコブ状に膨らんで指が曲がって変形してきます。関節の痛みが強い場合も弱い場合もありますが、経過とともに、変形がすすみ関節が動かしにくくなります。どの指にも生じます。
治療方針
まずは、外用薬、テーピングなどの処方で様子をみます。痛みが強い場合には関節内注射をすることもあります。痛みが引かない場合や動かなくなり使い勝手が悪くなった場合は手術をします。手術は人工指関節置換術を行う場合が多いです。人工指関節には色々な種類があります。

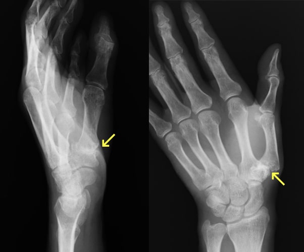
母指CM関節症

母指CM関節症写真
母指CM関節症
母指CM関節症 術式1
関節形成術
母指CM関節症 術式2
関節固定術
母指CM関節症 術前・術後
術前・術後
原因
親指の付け根の関節である母指CM関節は多方向に可動性を持つ鞍関節です。靭帯が緩むことで不安定になり、次第に変形性関節症が進行していきます。
症状
親指の付け根の痛みと周囲の腫れ。特に物をつまんだり、タオルを絞る、ビンの蓋を開けるなどの動作時に痛みます。放置することで親指の第2関節(MP関節)に変形と疼痛が生じるようになることもあります。
治療方針
装具や関節内注射で様子をみますが、効果があまり得られない場合や再発を繰り返す場合には手術を行います。手術は大きく分けて関節形成術と関節固定術を行っています。患者さんの年齢、職業、変形の程度などに合わせて適した治療方法を選択しています。特に関節固定術については、当クリニック院長が開発し、現在は全国の施設で使用されるようになった専用のプレートを用いて行っています。

ドケルバン病

原因
親指を動かす腱の炎症による腫れです。手首の親指側にある腱鞘と呼ばれるトンネルの部分で腱の滑走が障害されて痛みが生じます。
症状
手首の親指側が親指を曲げたり伸ばしたりすると痛みます。悪化すると腫れた腱がスムーズに動かなくなるので、親指を使う作業中に引っかかるような感じを受けます。妊娠時・産後の女性、更年期以降の女性、手仕事・手作業の多い方などに生じやすいと言われています。
治療方針
腫れた腱の炎症を抑えるために注射や装具の装着を行います。それでも改善しない場合は腱がスムーズに動くように手術を行います。

手関節尺側部痛(TFCC損傷、尺骨突き上げ症候群など)

原因
手をついて転倒したり手をひねったりすることで、手首にある橈骨と尺骨の動きをコントロールする靭帯と軟骨で構成された部分(TFCC)に損傷が生じたり、尺骨が長く手首の骨に衝突を繰り返すことなどで生じます。また、手首の小指側の尺側手根伸筋腱と呼ばれる腱の炎症が原因で生じることもあります。
症状
動作時に手首の小指側の出っ張った部分付近に痛みや脱臼するような感覚を感じることがあります。ドアノブを回したり、雑巾絞りをした際に特に強い痛みを感じたりと様々です。
治療方針
疾患ごとに異なります。専門医でも確定診断に苦渋することが多い症状です。診察はもちろんのこと、CTやMRI、関節造影などの画像検査を踏まえて慎重に診断し、治療方針を計画します。

デュピュイトラン拘縮

デュピュイトラン拘縮術前写真
術前
デュピュイトラン拘縮術後写真
術後
原因
手の平の皮膚の下には手掌腱膜という薄い線維性の膜があります。この手掌腱膜が肥厚、繊維化し、収縮することによって指が次第に曲がってくる病気です。50代以降の男性に多く、環指、小指に好発します。
症状
手の平から指にかけて最初はしこりやこぶのようなものができ、それが関節を引っ張って指が十分に伸びなくなって曲がっていきます。痛みはありませんが徐々に悪化し、拍手ができない、手袋をはめにくい、洗顔時に鼻や目を突いてしまうなどの症状があられます。
治療方針
手術でしこりやこぶの原因となっている病的な腱膜を取り除き関節の動きを改善します。病的な腱膜は神経や血管を巻き込んでいることが多く、拡大鏡を用いた細かな手術が必要となります。長い間放置されて手指が著しく曲がっている場合には植皮が必要となることがあります。酷くなる前に手外科専門医の診断を受けることをお勧めします。

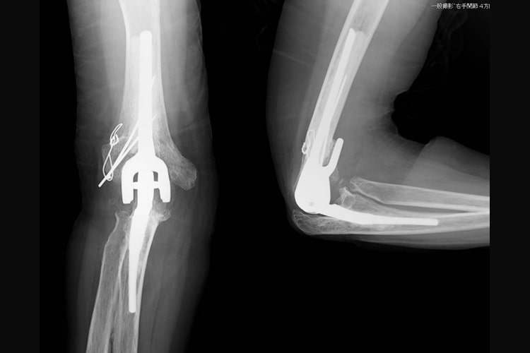
関節リウマチ

リウマチ術前写真
術前
リウマチ術後写真
人工指関節置換術後
表面置換型人工肘関節写真
表面置換型人工肘関節
半拘束型人工肘関節写真
半拘束型人工肘関節
人工手関節写真
人工手関節
原因
関節リウマチにより手や指、肘の関節が破壊されて変形や疼痛が生じます。滑膜炎により指の腱が切れてしまうこともあります。関節リウマチの治療の基本は内服加療ですが、骨破壊が生じてしまったり、腱が断裂した場合は手術が必要です。
症状
手や指、肘の変形、痛み、腫れが出現します。突然指が伸びなくなったりすることもあります。
治療方針
腱が切れた場合は腱移行や腱移植を行って治療します。手の腫れや痛みが持続した場合、関節破壊の程度に合わせて滑膜切除、関節形成、関節固定を追加します。最近は人工手関節置換術を行う場合もあります。指や肘の関節リウマチについても、腫れや痛みが持続する場合は人工関節置換術を行うことで生活レベルの向上が期待できます。

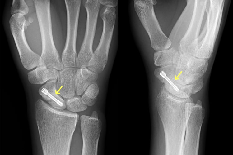
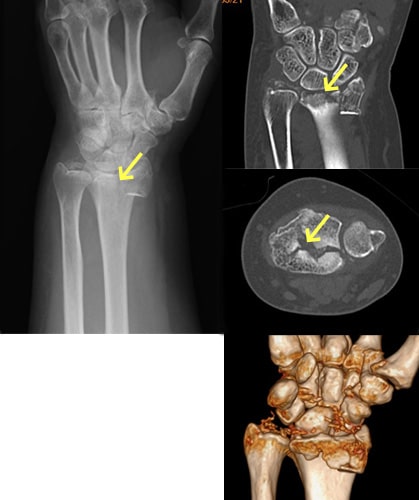
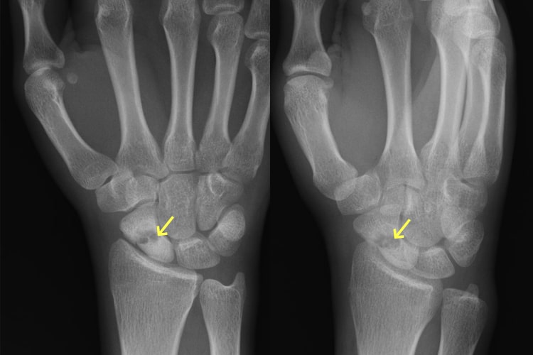
舟状骨骨折

舟状骨骨折写真
舟状骨骨折後偽関節
舟状骨骨折術後写真
骨移植併用内固定術後
原因
スポーツや事故で手をついて転倒することで生じます。舟状骨骨折は通常のレントゲン写真で分かりづらいことも多く、専門医でないと見落とすこともあります。手首の痛みが残る場合は舟状骨骨折を疑って多くの方向からレントゲン写真を撮ったり、CT撮影をする必要があります。
症状
腫れや痛みなどの症状が軽いため、整形外科への受診が遅れたり、手首の捻挫や打撲として診断されてしまっていることがあります。
治療方針
直後で骨折部のズレが少なければギプスで治療することも可能です。しかし、骨折部のズレが大きければ手術となります。また、長期間放置されて骨折部が治らないままとなったり(偽関節)、それに伴って関節の軟骨が摩耗した場合(変形性手関節症)は侵襲の大きな手術が必要となります。

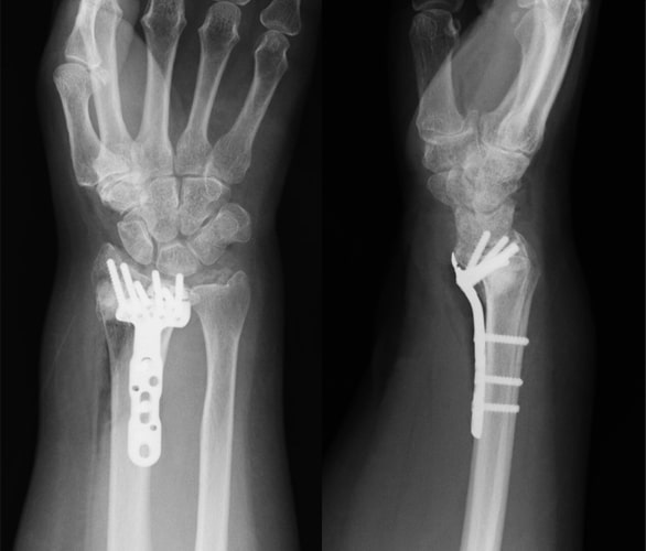
橈骨遠位端骨折

橈骨遠位端骨折写真
術前
橈骨遠位端骨折術後写真
ロッキングプレート固定術後
原因
踏み台やベッドから転倒した際に、手をついて受傷することが多いです。
症状
手首の関節部の痛み、腫れ、変形などが生じます。X線で橈骨(前腕の親指側の骨)の遠位部分に骨折を認めます。大きくズレている場合は手指のしびれが生じることもあります。
治療方針
ほとんどズレがない場合はギプス固定をして治す場合もあります。しかしギプスをしていてもズレてくる危険性が高い場合や関節面がズレている場合は手術が必要となります。手術は専用のプレートを用いて行うことが多いです。

指骨・中手骨骨折

中手骨骨折 術前・術後写真
中手骨骨折術前・術後
中手骨骨折 術前・術後写真
中手骨骨折術前・術後
指骨・中手骨骨折写真
基節骨変形癒合により指交差現象が出現
(握ると環指が小指に重なる)
原因
壁を殴ってしまったり、転倒した際に強打してしまったりして生じます。
症状
手や指が腫れて、痛くて動かせなくなります。変形を認める場合もあります。
治療方針
転位やズレの程度で治療方針を決めます。指の骨折の治療で重要なことは長期間固定をして拘縮を作らないことです。ほんの数週間の外固定により骨折部以外の関節も固くなってしまい、また少しの変形であっても指を握った時に重なったりする重篤な後遺症が生じることがありますので注意が必要です。手外科専門医にかかることをお勧めします。