スポーツ整形外科イメージ

スポーツ障害とは、使いすぎ症候群といわれる「スポーツ障害」と一度に大きな外力により生じるケガである「スポーツ外傷」をまとめた言葉です。
スポーツ障害には、テニス肘、ゴルフ肘、野球肘、野球肩、テニスレッグ、ジャンパー膝、ランナー膝、平泳ぎ膝など、スポーツの名前やスポーツ動作の名前がついたものが多く見られます。一度の外力で生じるけがではなく、スポーツ中の繰り返し動作で生じるもので、予防が肝心です。スポーツ外傷は、スポーツ中に一度の大きな外力により生じたけがのことで、突き指、脱臼、捻挫、骨折、靭帯損傷などがあります。これは、アクシデントですから発生の予防は困難です。
治療の方法も、試合期やトレーニング期、オフシーズン等の時期によっても異なりますし、プレイするポジションによってもスポーツを禁止しなければいけないけがからプレイを許可してよいものまでさまざまです。当院では、選手の背景まで考えて治療することを原則としています。これくらいなら大丈夫だろう、痛くても根性でがんばるのがスポーツだ、等の自己判断やコーチ、先輩の昔ながらの根性論は危険です。まずは、ご相談ください。早期診断早期治療が結局はスポーツ復帰への一番の早道です。

代表的な疾患

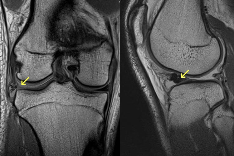
半月板損傷

外側半月板損傷写真
外側半月板損傷

半月板損傷は膝関節の屈伸と回旋との協調運動が破綻した時に発生します。原因はスポーツ外傷によるものが多く、その他では転倒、捻挫、交通事故等があります。損傷によって、膝の曲げ伸ばしの際に痛みやひっかかりを感じたりします。ひどい場合には、膝に水(関節液)がたまったり、急に膝が動かなくなる“ロッキング”という状態になり、歩けなくなるほど痛くなります。治療としてはリハビリテーション療法、膝サポーター、ステロイド、ヒアルロン酸の関節内注射等、保存的治療での症状改善を目指します。保存的治療で改善しない場合には手術を行います。手術法には切除術(損傷した部分を切り取る)と縫合術(損傷した部分を縫い合わせる)の2種類があり、症状に合わせて選択します。

オスグッド病

膝のお皿(膝蓋骨)の下にある脛骨結節が徐々に突出してきて痛くなり、時には赤く腫れたり、熱を持ったりします。休んでいると痛みが無くなりますが、スポーツを始めると痛みが再発します。発育期のスポーツ少年に起こりやすいのが特徴です。成長期の一過性の病気で、成長が終了すると多くは治癒します。この時期はスポーツを控えたり、大腿四頭筋のストレッチングやアイスマッサージなど運動前後のケアをすることが重要です。

内側側副靭帯損傷

ラグビーやサッカー、バスケットボールなどのコンタクトスポーツで、膝の外側から内側への外力(タックル)により、関節に外反、または外旋力が強制されたときに、靭帯が過緊張して最終的に断裂します。スキーでの転倒時、ジャンプ着地時、ツイスト時でも発生します。膝の内側に一致した圧痛、腫脹、熱感、荷重すると外反動揺性(X脚のような)が認められます。受傷直後は関節血腫が、慢性化すると水種が存在します。シーネ固定や装具、外用薬(湿布、塗布剤)、超音波、低周波などの物理療法により痛みの対策を行います。回復の程度を見て大腿四頭筋やハムストリングの筋力強化を行っていきます。他の靭帯損傷が複合して生じている場合は、手術療法が適応となることがあります。

前十字靭帯損傷

前十字靭帯損傷写真
外側半月板損傷

ジャンプの着地、急激な方向転換、急停止など非接触時に起こり、タックルを受けて膝の外反が強制される等、接触時に起こることもあります。受傷直後は著明な関節血腫に起因する関節痛が生じ、関節腫脹、運動障害や歩行障害も認めます。陳旧例では、関節の不安定性を訴え来院されることが多いです。日常生活やスポーツで膝関節にどの程度負荷をかけるかにより治療方法が決定されます。スポーツ愛好家ではない場合、大腿四頭筋やハムストリングスの筋力強化を徹底することにより手術を回避します。体育参加など膝のへの負荷を要求される時は、膝装具着用やテーピングの適応となります。一方、積極的なスポーツ参加者や、日常生活動作が障害される場合には手術が適応となります。手術の場合は靭帯の再建術を行い、細かいプロトコルに沿ってリハビリを行っていきます。

後十字靭帯損傷

スポーツや交通事故で脛骨前面を強打することによる発生がほとんどで、前十字靱帯損傷のように多様な受傷機転とは異なります。軽度の関節腫脹、膝窩部(膝の裏)の痛みを認めます。関節の不安定性を訴えることはありません。関節の不安定性を訴える場合は、他の損傷の合併を疑います。ハムストリングスや大腿四頭筋の働きで安定性が確保されるので、まずは保存療法が第一選択となります。他の靭帯損傷が合併している場合は、手術療法が適応となることがあります。