こんな症状はありませんか?
- 親指の付け根が痛い
- 親指の付け根が腫れている
- ペットボトルや瓶のフタが開けられない
- タオルを絞れない
- 物をつまめない
このような症状は、「母指CM関節症」の可能性があります。
当院の「手外科」は、日本手外科学会 手外科専門医・指導医として、約30年にわたり大学病院および地域の基幹病院で診療に携わってきた院長が担当いたします。
東武東上線「志木駅」南口直結と通院しやすい立地で、日帰り手術にも対応しておりますので、母指CM関節症でお悩みの方は、お気軽にご相談ください。
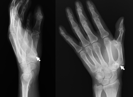
母指CM関節症とは
母指CM関節は親指の付け根に存在し、手の機能において最も重要な関節の1つと言われています。
そのため、関節の軟骨が摩耗して痛みが生じる母指CM関節症になると様々な手の機能障害が生じます。
母指CM関節症の手術について
母指CM関節症は、比較的頻度の高い変形性関節症の1つとして認知されており、今後母指CM関節症の手術件数が年々増加していくと推測されています。
術式としては早期の関節症に行われる中手骨矯正骨切りなども存在しますが、一般的には関節形成術や関節固定術が多くの施設で行われています。
当院では、患者さんの生活や仕事、母指の状態をみて適切な術式を選択させて頂いています。
院長は日本で最初の母指CM関節固定術専用のプレートシステム (CMFiX)を2022年に開発しました。
このプレートシステムは現在、全国の大学病院や基幹病院で数多く使用されるようになっており良好な治療成績が報告されています。
母指CM関節固定術
母指CM関節固定術は、軟骨が摩耗して痛みや変形が強い関節をプレートやスクリューで固定する手術です。


- 母指のジグザグ変形が著明
- 母指の付け根に痛みが強く摘むことが困難


- 母指の変形は矯正
- 母指の付け根の痛みは消失し摘む力も増加
「関節固定術を行うと親指が動かなくなるのでは?」と心配される方がいらっしゃいます。しかしご覧の通り親指の動きはしっかり保たれ、CM関節を固定しても殆どのことは問題なく出来ます。むしろ親指の付け根の痛みが改善することにより生活の質は向上します。
他院からのご紹介を頂くこともあり、当院では非常に多くの母指CM関節症の治療を行っており、手術件数も全国でトップクラスとなっています。
母指CM関節形成術
長掌筋腱を用いたThompson変法
母指と示指の中手骨に骨孔を作製し、長掌筋腱を通して母指を吊り上げます。
吊り上げることで母指の良好な回内角度が得られます。